ADVANSYNC 2
CASO CLÍNICO
ORTODONCIA INVISIBLE
HABIB BARHOUM
ESTE ES UN NUEVO APARATO INTRAORAL QUE NOS BRINDA LA CASA COMERCIAL ORMCO, EL CUAL ESTA DISEÑADO Y PATENTADO CON MÚLTIPLES ESTUDIOS CLÍNICOS DONDE SU PRINCIPAL FUNCIÓN ES AVANZAR LA MANDÍBULA CUANDO EL PACIENTE SE ENCUENTRA EN SU PICO DE CRECIMIENTO, ESTE APARATO HACE POSIBLE COMBINAR EL TRATAMIENTO DE ORTODONCIA CON EL TRATAMIENTO ORTOPÉDICO LOGRANDO ASÍ LAS CORRECCIONES DENTALES Y ESQUELÉTICAS CUANDO EL PACIENTE TIENE UNA MANDÍBULA CORTA.
VENTAJAS:
- REDUCE EL TIEMPO DEL TRATAMIENTO
- PROPORCIONA EL MÁXIMO CONFORT Y LA AMPLITUD DE MOVIMIENTO
- CRECIMIENTO MANDIBULAR EN PACIENTE CON MANDÍBULA CORTA, AUMENTANDO POSIBILIDADES DE TRATAMIENTO Y MEJORANDO EL AUTOESTIMA DEL PACIENTE.
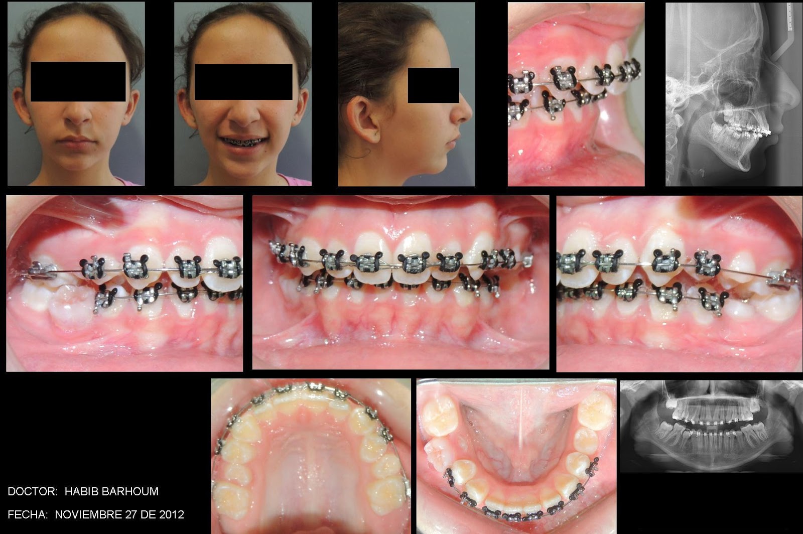
ESTE ES EL CASO DE UNA PACIENTE QUE CONSULTA POR TENER UNA MANDÍBULA CORTA QUE PODRÍA SER QUIRÚRGICA EN UNA ETAPA ADULTA, POR ELLO SE DECIDE COLOCAR UN ADVANSYNC 2, PARA HACER CRECER LA MANDÍBULA Y SIMULTÁNEAMENTE CON ORTODONCIA LOGRAR LOS MOVIMIENTOS DENTALES Y ESQUELÉTICOS DESEADOS.

No hay comentarios:
Publicar un comentario