"Es importante para prevenir maloclusiones dentales en niños que están en crecimiento, contar con una radiografía panorámica desde los 5 o 6 años de edad, así se visualiza a temprana edad dientes supernumerarios, en mal posiciones, odontomas, raíces cortas, erupciones eptópicas y otras patologías que se pueden observar a edad temprana y prevenir así problemas dentales en el futuro".
A continuación presentamos dos casos de nuestros pacientes de la CLINICA ORTODONCIA INVISIBLE HABIB BARHOUM, donde el problema de los pacientes no se lo detectaron a tiempo y hubo necesidad del diagnostico 3D, con tomografía para visualizar mejor el problema en las 3 dimensiones del espacio y así dar un diagnostico y plan de tratamiento mucho mas acertado y preciso.
PRIMER PACIENTE:
.JPG) |
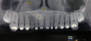
| VISTA PANORÁMICA DONDE SE OBSERVA DIENTES TEMPORALES Y UN ODONTOMA QUE ESTA OBSTACULIZANDO LA ERUPCIÓN DEL CANINO, TAMBIÉN SE VE UN LATERAL INCLUIDO EN MALA POSICIÓN CAUSANDO REABSORCION A LA RAÍZ DEL CENTRAL. |
 |
DESDE ESTA VISTA DE LA TOMOGRAFÍA SE PUEDEN OBSERVAR LOS CORTES SOBRE UNA ESCALA MILIMETRADA
VISTA OCLUSAL EN 3D DONDE SE VISUALIZA ODONTOMA EN EL LATERAL TEMPORAL
VISTA VESTIBULAR EN 3D DONDE SE VISUALIZA REABSORCION DE LA RAÍZ DEL CENTRAL POR LATERAL INCLUIDO
SEGUNDO PACIENTE:
RADIOGRAFÍA CONVENCIONAL PANORÁMICA DONDE SE OBSERVA CANINO IMPACTADO Y EN MALPOSICION PARA ERUPCIONAR
DESDE ESTA VISTA DE LA TOMOGRAFÍA SE PUEDEN OBSERVAR LOS CORTES SOBRE UNA ESCALA MILIMETRADA DONDE SE PUEDE ANALIZAR POSICIÓN EXACTA DEL CANINO
VISTA VESTIBULAR EN 3D DONDE SE PUEDE VISUALIZAR LA POSICIÓN DEL CANINO IMPACTADO
VISTA OCLUSAL EN 3D DONDE SE VISUALIZA POSICIÓN EN EL PALADAR |
No hay comentarios:
Publicar un comentario